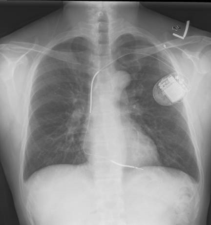
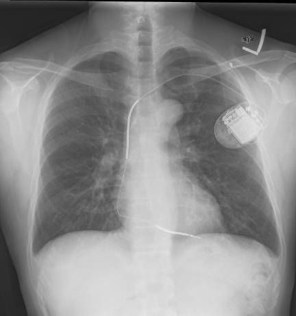
This op was to not only to check the valves and remove any imperfections so that they do actually close properly but also to install some different hardware.....
An automated implantable cardioverter defibrillator (AICD)
To quote from Wikipedia
"The ICD is the first-line treatment and prophylactic therapy for patients at risk for sudden cardiac death due to ventricular fibrillation and ventricular tachycardia."
So no going through metal detectors at an airport. Let's see if this one comes with an app.
Random fotos from over the years...
We use cookies and similar technologies to improve your experience on our website.
This website uses cookies and similar technologies. They are grouped into categories, which you can review and manage below. If you have accepted any non-essential cookies, you can change your preferences at any time in the settings.
These technologies are required to activate the core functionality of our website.
These technologies allow our website to remember your preferences and provide you with a more personalized experience.